Estética Dental

Te ofrecemos
Blanqueamiento dental
Carillas de cerámica
Coronas dentales
Puentes dental
Modelado y contorneado
Te ayudamos con la dedicación y cariño
Casos Clínicos
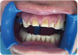
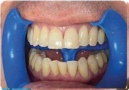
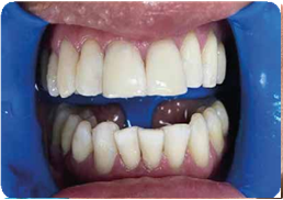
CARILLAS DE PORCELANA
Paciente acudió a consulta con desgate dental severo, al analizar su caso optamos por la colocación de carillas de porcelana sumamente resistentes y estéticas, mejorando así la armonía facial y devolviéndole la confianza al sonreír.


ACLARAMIENTO DENTAL
Paciente refirió que quería tener aclarar sus dientes , así que optamos por un trata- miento de blanqueamiento dental combinado para que se mantenga a largo plazo sin riesgo de sensibilidad


CONTORNEADO Y RELLENO DE LABIOS
Paciente femenina nos mencionó que desea un contorneo de sus labios, procedimiento que llevamos a cabo, a través de la coloca- ción de ácido hialurónico, mediante una técnica no permanente de forma segura respetando las proporciones naturales de los labios

