Implantología

Te ofrecemos
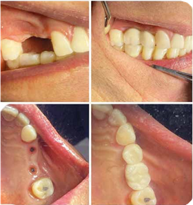
- Implantes Dentales Individuales: Esta es la solución ideal para reemplazar un diente perdido sin afectar los dientes adyacentes. Nuestros implantes individuales se integran naturalmente, proporcionando estabilidad y funcionalidad similar a la de un diente natural.
- Puentes Soportados por Implantes: Cuando faltan varios dientes consecutivos, el puente soportado por implantes es una alternativa efectiva. Este tratamiento reemplaza varios dientes en fila, brindando un aspecto natural y una mordida firme.
- Prótesis Totales sobre Implantes (All-on-4 o All-on-6): Para quienes han perdido la mayoría o todos sus dientes, ofrecemos prótesis completas soportadas por 4 o 6 implantes. Este tratamiento proporciona una solución estable y estética, devolviendo la confianza y funcionalidad al hablar y masticar.
- Elevación de Seno Maxilar: Cuando hay pérdida de hueso en el maxilar superior, realizamos un procedimiento de elevación de seno para preparar el área y garantizar que el implante tenga suficiente soporte óseo para integrarse de manera segura y duradera.
- Regeneración Ósea Guiada: En casos de pérdida ósea considerable, realizamos técnicas de regeneración ósea para aumentar la cantidad de hueso disponible y asegurar una base fuerte y estable para el implante.
- Carga Inmediata: En casos específicos, ofrecemos implantes de carga inmediata, donde el implante y la corona se colocan en una sola cita, permitiéndote disfrutar de una sonrisa completa y funcional desde el primer día.
CASO CLÍNICO
Paciente de 60 años acude porque tenia una prótesis sin estabilidad y deseaba tener dientes fijos, así que analizamos su caso y realizamos prótesis fija de porcelana apoyado sobre implantes con excelentes resultados estéticos y funcionales

CASO CLÍNICO
Paciente de 35 años acude a nuestra clínica al no tener piezas dentales. Su principal deseo es poder masticar y sentirse mejor al sonreír.
Durante el proceso se optó por la colocación de prótesis fijas sobre IMPLANTES, se puede apreciar los resultados satisfactorios para nuestro paciente.

IMPLANTE ALL ON SIX CASO CLÍNICO
Nuestra paciente manifiesta que desea volver hablar, masticar y sonreír con normalidad después de un largo tiempo.
Después de analizar su caso decidi- mos optar por un tratamiento de prótesis sobre implantes all on six, al terminar el proceso la paciente se encontró CONTENTA con el resultado.
