Ortodoncia

Te ofrecemos
-
-
Brackets Metálicos: Una opción tradicional y efectiva para corregir la posición de los dientes y lograr resultados funcionales y estéticos duraderos.
-
Brackets Estéticos: Fabricados con materiales transparentes o del color de los dientes, ofrecen la misma efectividad que los brackets metálicos con una apariencia más discreta.
-
Alineadores Invisibles (Invisalign): Férulas transparentes removibles que corrigen las malposiciones dentales de forma cómoda, estética y sin interferir en tu vida diaria.
-
Ortodoncia Infantil (Interceptiva): Tratamientos para niños que buscan guiar el crecimiento de los maxilares y prevenir problemas futuros, asegurando un desarrollo bucal saludable.
-
Retenedores: Una vez finalizado el tratamiento, los retenedores ayudan a mantener la nueva posición de los dientes y prevenir movimientos indeseados.
-
CASO CLÍNICO
Nuestro paciente menciona que sus dientes estaban torcidos por lo que optamos por un tratamiento de orto- doncia con colocación de brackets para alinear sus dientes mejorando la estéti- ca y función, asegurándonos de que el paciente se sienta cómodo durante todo el proceso del tratamiento.

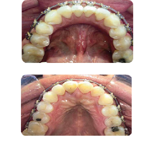
CASO CLÍNICO
Paciente de 13 años de edad acude a consulta por presentar severa apiñación dental y un maxilar pequeño, por lo que optamos por un tratamiento de ortodoncia (brackets), terminando el tratamiento de manera exitosa, luego de ello se procede a realizar mejoras estéticas
con un blanqueamiento dental.
CASO CLÍNICO
Paciente de 28 años de edad acude a consulta por presentar desalineación dental sin guías de oclusión, por lo que se opta por un tratamiento de ortodoncia (Brackets) para alinear sus dientes mejorando la estética y función, asegurándonos de concluir el tratamiento de manera eficaz.
