Rehabilitación Oral

Te ofrecemos
-
Coronas Dentales: Restauramos la forma y función de dientes dañados o debilitados con coronas personalizadas que se adaptan perfectamente a tu sonrisa, manteniendo la estética y la resistencia.
-
Puentes Dentales: Reemplazamos dientes faltantes mediante puentes que se apoyan en los dientes adyacentes o en implantes, recuperando la funcionalidad y la armonía de tu sonrisa.
-
Prótesis Removibles: Diseñamos prótesis parciales o totales removibles que se adaptan cómodamente a tu boca, permitiéndote recuperar la confianza al hablar y comer.
-
Implantes Dentales: En combinación con la rehabilitación oral, los implantes son la base perfecta para restaurar dientes perdidos y devolver la estabilidad y estética a tu sonrisa.
-
Carillas Dentales: Mejoramos la apariencia de tus dientes con carillas de porcelana o resina, logrando una sonrisa armónica y natural.
-
Diseño de Sonrisa: Combinamos diversas técnicas para lograr una sonrisa equilibrada, funcional y estéticamente agradable, teniendo en cuenta la salud dental y tus deseos personales.
CASO CLÍNICO
Nuestro paciente acude con nosotros por presentar prótesis dentales en mal estado y muy flojas .
¡Al final el paciente se siente feliz con sus nuevas prótesis con buena retención y estabilidad, mejorando su calidad de vida!

CARILLAS DE PORCELANA
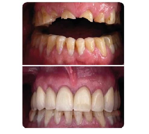
Este paciente presentaba destrucción total de su dentadura.
Al analizar su caso se opto por preservar las piezas dentales realizando endo- doncias, pernos y coronas fijas unitarias de porcelana pura de buena calidad, de esta manera recuperamos la forma, resistencia dental y mejoramos la apariencia del paciente.

PUENTES DENTALES CASO CLÍNICO
Dentro de la rehabilitación oral, los puentes dentales son una alterniva a la hora de rehabilitar tu sonrisa.
Nuestra paciente opto por este tratamiento debido a su economía, sin embargo, logramos devolver una exce- lente función y estética adaptándonos al presupues- to de la paciente.
